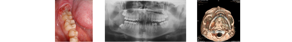
El tratamiento de grandes tumores mandibulares, reemplazos de la articulación temporo mandibular (ATM) por disfunciones avanzadas, u otras patologías conlleva a la resección quirúrgica mandibular en bloque de un segmento, así como secuelas de infecciones y trauma de alta energía. Situaciones clínicas que ocasionan una alteración anatómica y funcional del paciente con implicaciones estético-funcionales que necesitan meticulosidad en la reconstrucción de los defectos con la combinación de injertos óseos libres, prótesis de ATM, distracción ósea e implantes cigomáticos