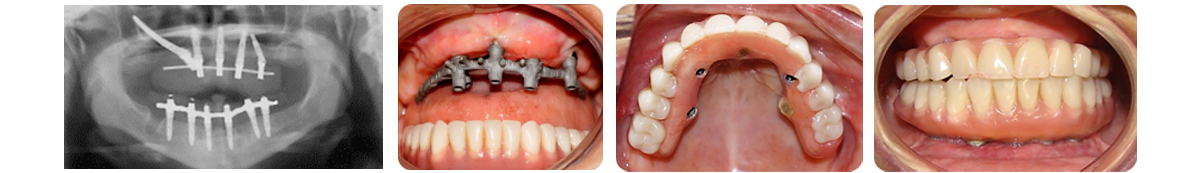
¿QUÉ ES?
Son componentes sanitarios de titanio diseñados para sustituir el diente perdido que se instalan quirurgicamente en el hueso de los maxilares y malares, tienen forma roscada y estan fabricados con materiales biocompatibles que no producen reacción de rechazo y permiten su unión al hueso, los cuales ayudan a completar nuevamente la dentadura, dando un diente artificial que se ve estéticamente bien y que cumple con todas las funciones masticatorias que se necesita como si se tratara de un diente natural
IMPLANTES UNITARIOS CON CARGA INMEDIATA:
Son situaciones clínicas que en el acto quirúrgico de exodoncia del diente se coloca inmediatamente el implante dental y se rehabilita o entra en función con la confección de una corona o funda provisional: